We are on our family summer vacation in Steamboat Springs Colorado again this year. Yesterday we had the pleasure of hanging out with tajanes (Andy) and his wife at their beautiful home just up the road from where we are staying. Got to listen to his current system. Excellent sounding speakers and equipment. Andy and his wife prepared a wonderful meal for us. Great food and conversation! Here is the view from his living room window and a picture of where he likes to have his morning cup of coffee!
@PWRRYD said:
We are on our family summer vacation in Steamboat Springs Colorado again this year.
Craig,
We are so happy you and your family took time from your vaykay to stop by for a visit! It’s a looong way to Iowa, and I certainly miss catching up with what is a great group of guys (and a few gals). Hope to see many of you soon. And, btw Craig you have a couple of great kids. All the best.
They recommend pins and screws, JR?
Had my femur repaired this way - you'll heal up and be back quickly enough - but it sucks that you have to go through it.
Bummer dude! Can't imagine having to deal with hand injury of that level, from a musician standpoint. I've injured a finger that put me out of playing for about 6wks, that fucking sucked more than the pain.
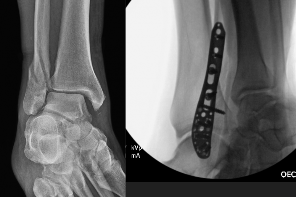
Ug, yeah sucks as sometimes might have to get it taken back out. I had plate in ankle when snapped it in 2 places mid Dec. It just wasn't healing up right and was uncomfortable, ankle like concrete by end of day. Had it removed little over a week ago, 7/7 - better, should finally heal up for good and feels lot better. Should have done it couple months ago but kept hoping, but after 6 months of keeping gauze on it and compressing it, I had enough. He told my wife after surgery that it was getting infected under the plate. But also had the plate where not much fat or meat so it was like my skin stretched over plate where pulled apart from swelling after staples removed that f'd up my initial healing process - but plate gone now and stitches come out this Friday.
But really hoping none of those troubles, prob exacerbated by being at lowest part of body where i couldnt lay in bed all day to keep from swelling.
When went through detectors it didn't trigger anything, stainless steel, should have had surgeon give it to me for a memento heh.
My wife's left wrist was repaired that way and she does not trip the detector. YMMV?
My wife's under-wired bra set off a detector in Abu Dhabi; a mean looking bloke carrying a gun told us to stay put and wait for someone or other. However, nothing happened and we got sick of waiting so we just boarded the plane anyway.
To JR: good luck with the surgery and speedy recovery
I'm going for an aperiodic alignment for my midrange drivers on my current project. It brings the impedance peak down from 68 ohms to 32 ohms. No way am I paying $32 each for some flimsy, press fit, plastic, BS Scanspeak units from Madisound. Enter the new world of 3D printing. Only $0.82 each in PLA filiment.
I'm also going to do 1.5" roundovers. I bartered with JR and got this nice 1.5"
roundover router bit. I don't feel comfortable free handing such a large bit even though I can slow my router way down. So I'm making a new insert for my router table:
There are several sizes of white or black PVC drain grills at Home Depot of that green variety for just a couple dollars. I would use open cell foam stuffed fit tightly for the vent, just as a recommendation. No gaps is best.
@Wolf said:
There are several sizes of white or black PVC drain grills at Home Depot of that green variety for just a couple dollars. I would use open cell foam stuffed fit tightly for the vent, just as a recommendation. No gaps is best.
@PWRRYD said:
I'm also going to do 1.5" roundovers. I bartered with JR and got this nice 1.5"
roundover router bit. I don't feel comfortable free handing such a large bit even though I can slow my router way down. So I'm making a new insert for my router table:
I used 1-1/4" quarter round. Turned out nicely. No ER needed. Now I just need to beg for help finishing the project.
Oh wait! For the aperiodic vents? NM. Oh, the jig is for your router table?
A power feeder is very useful for router bits that diameter . . . go slow with the feed by hand and don't slow the router speed down too much or it will grab the workpiece.
Went to Cedar Point a week ago for the kids first go at roller coasters. I ended up riding 7 before we were ready to leave and had 8 hours in the heat under our belts. My daughter rode 3; Blue Streak, Mine Ride, and Iron Dragon; in that order to ease her into the fun. After the 1st, she was adamant she didn't want to ever ride another, that we couldn't make her, and that she wanted to go home. I convinced her to reluctantly do the next, and there was some giggling and less fearful screaming than the previous. The last it was laughter, and sheer enjoyment. On the way home, she was happily discussing her supposed next trip there. I suppose it was worth the trip as she did have a little fun after all. I rode the initial 3, plus Valravn, Rougarou, Maverick, and Top Thrill 2. Valravn was fun! The track was wide and the coaster did not have any play in the running for a very clean and secure ride. Rougarou boxed my head and ears between the harness pads, so I didn't like that one. TT2, well, it's short, but Fast! 72mph fwd and straight up, 95mph backwards and straight up with you facing down, and then fwd again at 120mph to finish the ride and go over the tower. While I'm not a fan of falling, leaving the ground while facing it is worse. When 120mph hits, all you can do is hold on! Maverick was impressive in both number of those in wait and the ride itself. It shoots you up the first hill- no chain chatter here. Then the ride is nonstop loops, twists, and flips- at similar to the same initial speed. So, I had fun too!
I should mention that if your employer has available discounts, this can ease the burn of admission. Tickets are just shy of $70 for entry per person, parking is $36, and if you want the Fast Pass+ so you CAN ride more than 3 to 4 coasters due to long times waiting in line, that will set you back another $178/ea. I'm thankful we bought the wristbands to the drink all day plan, as those paid for themselves. My employer discounted admissions paid for the discounted drink plans.
As we were winding down, this little fella spent about 15 minutes on my hand getting his fill....
It was a hot but exciting day! Sorry I don't have pics of the park, but most rides don't allow bags or any items in pockets while riding. Can't wear hats either. No filming of riding coasters either.
What a beautiful creature! Went to Cedar Point about 15 y.o. With my daughter she was 11 or 12 at the time. Didn’t want to do some of the more wild rides. Still fun tho.
Comments
We are on our family summer vacation in Steamboat Springs Colorado again this year. Yesterday we had the pleasure of hanging out with tajanes (Andy) and his wife at their beautiful home just up the road from where we are staying. Got to listen to his current system. Excellent sounding speakers and equipment. Andy and his wife prepared a wonderful meal for us. Great food and conversation! Here is the view from his living room window and a picture of where he likes to have his morning cup of coffee!

Andy demo'n his OB speakers in Ankeny (2018?)

Craig,
We are so happy you and your family took time from your vaykay to stop by for a visit! It’s a looong way to Iowa, and I certainly miss catching up with what is a great group of guys (and a few gals). Hope to see many of you soon. And, btw Craig you have a couple of great kids. All the best.
Our last day in Colorado. Hiked up to the ski resort this morning and saw this awesome sunrise over the mountain!

Well shit, I learned today that I will need surgery on my wrist. That sucks.
That super sucks. Sorry man.
Ah man JR! Sorry to hear that.
They recommend pins and screws, JR?
Had my femur repaired this way - you'll heal up and be back quickly enough - but it sucks that you have to go through it.
Yes, will be plate and screws involved.
Will you be setting off alarms at the airport? ;-) Hope it heals quickly.
Bummer dude! Can't imagine having to deal with hand injury of that level, from a musician standpoint. I've injured a finger that put me out of playing for about 6wks, that fucking sucked more than the pain.
Good luck bro!🤘🏼
Good luck Tom, looks like Cedar Rapids is about to get pummeled with strong thunderstorms!
My wife's left wrist was repaired that way and she does not trip the detector. YMMV?
Best of luck JR.
Ug, yeah sucks as sometimes might have to get it taken back out. I had plate in ankle when snapped it in 2 places mid Dec. It just wasn't healing up right and was uncomfortable, ankle like concrete by end of day. Had it removed little over a week ago, 7/7 - better, should finally heal up for good and feels lot better. Should have done it couple months ago but kept hoping, but after 6 months of keeping gauze on it and compressing it, I had enough. He told my wife after surgery that it was getting infected under the plate. But also had the plate where not much fat or meat so it was like my skin stretched over plate where pulled apart from swelling after staples removed that f'd up my initial healing process - but plate gone now and stitches come out this Friday.
But really hoping none of those troubles, prob exacerbated by being at lowest part of body where i couldnt lay in bed all day to keep from swelling.
When went through detectors it didn't trigger anything, stainless steel, should have had surgeon give it to me for a memento heh.
Thanks for the concern all. Surgery is scheduled for next Wednesday, so I have that to look forward to.
Typing with one hand sucks.
My wife's under-wired bra set off a detector in Abu Dhabi; a mean looking bloke carrying a gun told us to stay put and wait for someone or other. However, nothing happened and we got sick of waiting so we just boarded the plane anyway.
To JR: good luck with the surgery and speedy recovery
Geoff
That should teach you to stop wearing your wife’s clothes- ha
I'm going for an aperiodic alignment for my midrange drivers on my current project. It brings the impedance peak down from 68 ohms to 32 ohms. No way am I paying $32 each for some flimsy, press fit, plastic, BS Scanspeak units from Madisound. Enter the new world of 3D printing. Only $0.82 each in PLA filiment.

I'm also going to do 1.5" roundovers. I bartered with JR and got this nice 1.5"
roundover router bit. I don't feel comfortable free handing such a large bit even though I can slow my router way down. So I'm making a new insert for my router table:
And for us w/o 3D printing- I had order a couple of these in the past - yours are +++

Luckily just a trickle early this morning. I had a video shoot in a small town at 9:00 this morning and didn't see a drop on my drive.
I hope all our MAC friends in Wisconsin are OK after those tornados today.
There are several sizes of white or black PVC drain grills at Home Depot of that green variety for just a couple dollars. I would use open cell foam stuffed fit tightly for the vent, just as a recommendation. No gaps is best.
InDIYana Event Website
$8.95 is with that ‘free Amazon delivery’ 🤣
I used 1-1/4" quarter round. Turned out nicely. No ER needed. Now I just need to beg for help finishing the project.
Oh wait! For the aperiodic vents? NM. Oh, the jig is for your router table?
And I thought the 1" I bought was intimidating.
This one probably weighs a couple pounds!
A power feeder is very useful for router bits that diameter . . . go slow with the feed by hand and don't slow the router speed down too much or it will grab the workpiece.
Went to Cedar Point a week ago for the kids first go at roller coasters. I ended up riding 7 before we were ready to leave and had 8 hours in the heat under our belts. My daughter rode 3; Blue Streak, Mine Ride, and Iron Dragon; in that order to ease her into the fun. After the 1st, she was adamant she didn't want to ever ride another, that we couldn't make her, and that she wanted to go home. I convinced her to reluctantly do the next, and there was some giggling and less fearful screaming than the previous. The last it was laughter, and sheer enjoyment. On the way home, she was happily discussing her supposed next trip there. I suppose it was worth the trip as she did have a little fun after all. I rode the initial 3, plus Valravn, Rougarou, Maverick, and Top Thrill 2. Valravn was fun! The track was wide and the coaster did not have any play in the running for a very clean and secure ride. Rougarou boxed my head and ears between the harness pads, so I didn't like that one. TT2, well, it's short, but Fast! 72mph fwd and straight up, 95mph backwards and straight up with you facing down, and then fwd again at 120mph to finish the ride and go over the tower. While I'm not a fan of falling, leaving the ground while facing it is worse. When 120mph hits, all you can do is hold on! Maverick was impressive in both number of those in wait and the ride itself. It shoots you up the first hill- no chain chatter here. Then the ride is nonstop loops, twists, and flips- at similar to the same initial speed. So, I had fun too!
I should mention that if your employer has available discounts, this can ease the burn of admission. Tickets are just shy of $70 for entry per person, parking is $36, and if you want the Fast Pass+ so you CAN ride more than 3 to 4 coasters due to long times waiting in line, that will set you back another $178/ea. I'm thankful we bought the wristbands to the drink all day plan, as those paid for themselves. My employer discounted admissions paid for the discounted drink plans.
As we were winding down, this little fella spent about 15 minutes on my hand getting his fill....





It was a hot but exciting day! Sorry I don't have pics of the park, but most rides don't allow bags or any items in pockets while riding. Can't wear hats either. No filming of riding coasters either.
InDIYana Event Website
FYI - Mike Chua made it and is back at Ampslab (intermittently).
What a beautiful creature! Went to Cedar Point about 15 y.o. With my daughter she was 11 or 12 at the time. Didn’t want to do some of the more wild rides. Still fun tho.